Pomôžme Kristiánovi s rekonštrukciou chrupu

Získaných 0 € 108 €
4 500 €
14 dní
do ukončenia

Buďte s nami za každú dobrosť. Odovzdáme 100 % vášho daru.

Darovať Zdieľať

Všetky kampane overujeme

Všetky kampane overujeme

Zakladateľ
Kristián Kincel
Dátum pridania
20. 1. 2026

Kto kampaň organizuje?

Rád by som sa vám predstavil. Volám sa Kristián a odmalička trpím odontofóbiou, čo je panický strach zo zubára.

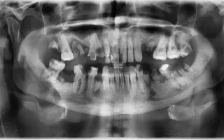
Kvôli tejto poruche sa môj zdravotný stav dostal až k vysokým zápalovým ochoreniam a rozpadu zubov.. konkretne  Chronická osteomyelitída sánky. Tieto zápaly sprevádzané neskutočnými bolesťami mi bránia v bežnom živote, nájsť si prácu a neustále užívanie liekov proti bolesti už začína byť aj rizikové pre vnútorné orgány.

Komu pomôžeme?

A tak som nabral odvahu a túžbu sa po 20 rokoch usmiať. Išiel som na konzultáciu, kde mi nastavili plán liečby, a to extrakciu 11 zubov vyčistenie  odumretého  tkaniva z kosti  a opravy všetkých ostatných – úplnú rekonštrukciu. Keďže táto liečba je veľmi nákladná a vyžaduje rýchly zákrok, v úplnej  narkoze,pretože môj stav je akútny, prosím o pomoc na zlepšenie môjho života. Túžim začleniť sa do spoločnosti a usmievať sa, žiť bez bolesti a schuti sa najesť.

Na čo konkrétne budú peniaze z tejto kampane použité?

Peniaze budú použité na potrebné vytrhanie a rekonštrukciu zubov, liečbu ďasien a kostí, ktoré sú napadnuté zápalom a na zubnú náhradu, aby sa zuby v ústach a v kosti nezačali posúvať po vytrhnutí. Zubár nastavil približnú cenu na 4 500 €, ako najlacnejší variant. 

Čo je to Donio?

Donio je miesto, kde má každý možnosť jednoducho získať financie na zmenu svojho príbehu alebo na ňu iným prispieť. Zakladateľom vždy odovzdávame 100% získanej sumy.

Ako je možné, že odovzdávate 100% získanej sumy?

Naším cieľom je pomáhať naplno všetkým, ktorí to potrebujú. Vytvorenie kampane na Donio je preto bezplatné. Náš chod hradíme z dobrovoľných darov od podporovateľov, nie z provízií od zakladateľov kampaní. Ďakujeme za ne, sú pre nás nielen veľká finančná pomoc, ale i gesto, že to, čo robíme, vám dáva zmysel.

Naozaj si u vás môžem vytvoriť kampaň na čokoľvek?

Donio ako jediná slovenská platforma pomáha získať financie na čokoľvek. Či už potrebujete financovať liečbu choroby, podporiť blízky útulok, rozbehnúť komunitnú záhradu alebo komerčný predpredaj produktu, kampaň môžete vytvoriť ako fyzická i právnická osoba. Samozrejme, každá kampaň musí byť v súlade s naším Etickým kódexom a Pravidlami používania.

Akú záruku mám, že prostriedky nebudú zneužité?

Pred spustením overujeme identitu každého zakladateľa kampane. Takmer s každým sme v intenzívnom kontakte a na posúdenie dôveryhodnosti kampane žiadame predloženie dokumentov, ktoré potvrdzujú účel výzvy či skutočnosti uvádzané vo výzve. Po skončení kampane od zakladateľov kampaní vyžadujeme aktualitu pre podporovateľov, ako boli získané prostriedky využité. Pri Naštartuj projekt navyše využívame overenie subjektu treťou stranou a dbáme na to, aby boli odmeny doručené tak, ako bolo v kampani sľúbené.

Nemôžem prispieť anonymne? Prečo na prispenie potrebujete moje údaje?

Vždy potrebujeme aspoň váš e-mail, aby sme naň poslali potvrdenie o platbe. Tiež naň budete dostávať informácie o tom, ako sa darí podporenej kampani. Ak ste si vybrali za svoj príspevok aj fyzickú odmenu, potrebujeme aj vaše ostatné kontaktné údaje pre jej odoslanie zakladateľom kampane.

Po odoslaní príspevku mi od vás neprišiel žiaden e-mail. Čo mám robiť?

Vo svojom e-mailovom klientovi sa pozrite do kategórie Ostatné. Alebo skontrolujte priečinok Spam. Ak nie je ani tam, ozvite sa nám na ahoj@donio.sk a spolu to vyriešime.

Od prispenia ubehlo už 24 hodín a moju platbu stále nevidím. Je to normálne?

Ak ste zvolili platbu kartou, mala by sa v prehľade kampane zobraziť hneď po prispení. Ak ste zvolili platbu prevodom, váš príspevok sa pripíše až v momente, keď peniaze prídu na účet. V prípade, že ste odoslali inú čiastku alebo ste nezadali variabilný symbol, musíme váš príspevok manuálne spárovať. To môže trvať aj týždeň.

Nepodarilo sa mi urobiť platbu kartou zo zahraničia, čo s tým?

Ak máte ťažkosti uskutočniť platbu zo zahraničia, môže byť chyba na strane platobnej brány, ktorá špeciálne zahraničné platobné karty neprijíma. Ak zvolíte platbu prevodom, môžete použiť službu Wise, ktorá má výhodnejšie poplatky.

Kampaň nezískala cieľovú sumu. Čo sa bude diať s mojimi peniazmi?

Ak sa ukončenej kampani nepodarila dosiahnuť želaná cieľová čiastka, ešte to neznamená, že peniaze zakladateľ nezíska. Pri vyplácaní sa riadime pravidlami jednotlivých druhov kampaní. Pri Dobročinných výzvach je podmienkou vyplatenia financií zakladateľovi kampane dosiahnutie minimálnej čiastky 200 € alebo dosiahnutie prvého kampaňového miľníka (ak kampaň pracovala s miľníkmi). Pri Naštartuj projekt je podmienkou vyplatenia dosiahnutie prvého kampaňového miľníka. Ak kampaň spĺňa podmienky, zakladateľovi vyplatíme získanú čiastku v plnej výške. Pokiaľ kampaň nedosiahla ani minimálnu čiastku potrebnú na vyplatenie, príspevky do 14 pracovných dní vrátime späť darcom priamo na účet alebo na platobnú kartu.

Veľkorysý darca
100 €  •  17. 2. 2026 19:16
Štedrý darca
5 €  •  22. 1. 2026 22:31
Milý darca
3 €  •  22. 1. 2026 18:32

Premýšľate ako pomôcť ešte viac?

Založte si vlastnú darcovskú výzvu a podporte tento príbeh spolu s priateľmi v rámci narodeninovej oslavy, vo firme alebo na športovej akcii.

Ako funguje Darcovská výzva

  1. Pridajte Darcovskú výzvu – vymyslite vlastný názov a napíšte krátky úvod, prečo vás zaujal príbeh, ktorý ste sa v Darcovskej výzve rozhodli podporiť.
  2. Zdieľajte ju s priateľmi, kolegami či vo svojej komunite, aby sa do pomoci mohlo zapojiť čo najviac prispievateľov.
  3. Získané financie priradíme ku kampani, ktorú ste sa rozhodli podporiť v 100 % výške.
Pridať Darcovskú výzvu Zistiť viac

U tohto príbehu zatiaľ žiadne Darcovské výzvy nie sú

Páči sa vám táto kampaň? Podporte ju Darcovskou výzvou.

Založte si vlastnú podkampaň a podporte tento príbeh spolu s priateľmi v rámci narodeninovej oslavy, vo firme alebo na športovej akcii.
Ako to funguje?

Odkazy

Veľkorysý darca
100 €  •  17. 2. 2026 19:16
Štedrý darca
5 €  •  22. 1. 2026 22:31
Milý darca
3 €  •  22. 1. 2026 18:32

Kto ďalší daroval?

Chcete vytvoriť kampaň? Sme za každú dobrosť.

Vytvoriť kampaň

Donio logo
Pomôžme Kristiánovi s rekonštrukciou chrupu Podporte výzvu

Pomôžme Kristiánovi s rekonštrukciou chrupu

Kristián Kincel trpí odontofóbiou, ktorá mu spôsobila vážne zdravotné problémy a rozpad zubov. Po 20 rokoch bolesti sa rozhodol pre rekonštrukciu chrupu, aby mohol žiť bez bolesti a opäť sa usmievať. Potrebuje však finančnú pomoc na nákladnú liečbu.

Získaných 108 € 3 darcovia