Pomôžme Ferovi znovu sa nadýchnuť

Míľnik 1/3

Zakladne testy z krvnych vzoriek a zahajenie odvodnenia plúc.

Získaných 0 € 720 €
300 €
14 dní
do ukončenia

Míľnik 2/3

Nákup inhalátora na utíšenie zachvatov.

Získaných 0 € 720 €
350 €
14 dní
do ukončenia

Míľnik 3/3

Doterajšia liečba presiahla 650€. Naklady na dopravu žial prostriedky nepokryju a ani celkove náklady na liečbu a diagnostiku.

Získaných 0 € 720 €
750 €
14 dní
do ukončenia

Buďte s nami za každú dobrosť. Odovzdáme 100 % vášho daru.

Darovať Zdieľať

Všetky kampane overujeme

Všetky kampane overujeme

Zakladateľ
Zuzana Kováčová
Dátum pridania
16. 1. 2026
Posledná aktualita

16. 2. 2026 12:46

Stav sa zlepšuje

Po dnešnej kontrole sme dospeli k zaveru že liečba výrazne pomaha ferkovi dýchat a vynaložene prostriedky neboli zbytočné. Žial doteraz darované prostriedky nepokryju cele náklady na doterajšiu liečbu a vyšetrenia ktora doteraz stála 650€. Ďakujeme všetkým ktorý nam pomáhajú a prosime o zdielanie výzvy.

Zobraziť celú aktualitu
Všetky aktuality

Kto kampaň organizuje?

Fero je náš miláčik, približne 10-ročný psík z neznámeho prostredia, ktorý sa k nám dostal prostredníctvom občianskeho združenia. O jeho minulosti toho veľa nevieme, no dnes už vieme jedno – je to pokojný, nekonfliktný a nesmierne láskavý psík.

Bol nerozlučným kamarátom našej čivavky Kivi, ktorá nás, žiaľ, navždy opustila 24. 12. 2025. Fero je pre nás plnohodnotným členom rodiny. Má ešte kus života pred sebou, no už dlhší čas bojuje s vážnymi problémami s dýchaním, ktoré mu výrazne znižujú kvalitu života.

Komu pomôžeme?

Psíkovi, ktorý každý deň doslova bojuje o každý nádych.

Pri fyzickej záťaži mu kolabujúca priedušnica bráni v plnom nadýchnutí a často sa dostáva do stavu, kedy sa dusí, kým sa neupokojí. Má opakované kašľavé záchvaty, pri ktorých sa bojíme, či sa mu podarí chytiť dych. Sú chvíle, keď len bezmocne sledujeme, ako sa trápi.

Okrem dýchacích ťažkostí ho trápi aj kožná alergia, ktorej liečba našťastie smeruje k zlepšeniu.

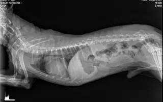
Fero absolvoval viacero základných aj rozšírených veterinárnych vyšetrení, ktoré potvrdili:

  • pozitívne alergologické testy (roztoče, plesne – IDEXX),
  • chronickú fibrotizáciu pľúc,
  • výrazný kolaps trachey s paroxyzmálnym suchým kašľom,
  • podozrenie na svrab, na ktorý liečba pravdepodobne zabrala.

Fero potrebuje trvalú medikáciu a liečba dýchacích ťažkostí bude, žiaľ, doživotná. Existuje aj možnosť chirurgického riešenia priedušnice, no zatiaľ veríme, že sa jej podarí vyhnúť.

Na čo konkrétne budú peniaze z tejto kampane použité?

Získané peniaze budú použité na:

  • lieky a dlhodobú medikáciu,
  • ďalšie veterinárne vyšetrenia a testy,
  • podpornú liečbu dýchacích ťažkostí a alergií.

V prípade, že by sa podarilo získať viac, než bude potrebné na Ferovu liečbu, zvyšné finančné prostriedky venujeme kocúrovi Mikešovi alebo na nákup inhalátorov pre veterinárnu ambulanciu, aby mohli pomôcť aj ďalším zvieratkám v núdzi.

Aktuality

16. 2. 2026 12:46

Stav sa zlepšuje

Po dnešnej kontrole sme dospeli k zaveru že liečba výrazne pomaha ferkovi dýchat a vynaložene prostriedky neboli zbytočné. Žial doteraz darované prostriedky nepokryju cele náklady na doterajšiu liečbu a vyšetrenia ktora doteraz stála 650€. Ďakujeme všetkým ktorý nam pomáhajú a prosime o zdielanie výzvy.

30. 1. 2026 15:10

Absolvovali sme dalšie vyšetrenia

Dnes zmena antibiotík ktoré vyriešia viac problemov naraz, pobyt v kyslikovej komore prispel k zlepšeniu a záchvaty sa dosť zmiernili. Vyšetrenia pribudli čo znamená viac výdavkov ale vidime zmeny k lepšiemu.

26. 1. 2026 21:19

Dnes, pobyt v kyslikovej komore.

24. 1. 2026 22:02

Ďalšie testy za nami. Dva výsledky, jeden nam upresnil dôvod alergie a vieme stanovit konkretnu liečbu a vysadit kortikoidy. Druhý výsledok je mierne zbrzdenie, obličky a pečeň nezvladaju nával liečiv tak musime nejake na čas vysadiť.  Celkový stav smeruje k zlepšeniu vzhľadom na jeho povahu. Ďakujeme za doterajšiu aj buducu podporu.

19. 1. 2026 12:01

Dobrý začiatok

Veľmi pekne ďakujeme za Fera všetkým doterajším  darcom aj za zdielanie. Podarila sa nazbierať časť potrebných prostriedkov ale do cieľa je ešte ďaleko. 

Čo je to Donio?

Donio je miesto, kde má každý možnosť jednoducho získať financie na zmenu svojho príbehu alebo na ňu iným prispieť. Zakladateľom vždy odovzdávame 100% získanej sumy.

Ako je možné, že odovzdávate 100% získanej sumy?

Naším cieľom je pomáhať naplno všetkým, ktorí to potrebujú. Vytvorenie kampane na Donio je preto bezplatné. Náš chod hradíme z dobrovoľných darov od podporovateľov, nie z provízií od zakladateľov kampaní. Ďakujeme za ne, sú pre nás nielen veľká finančná pomoc, ale i gesto, že to, čo robíme, vám dáva zmysel.

Naozaj si u vás môžem vytvoriť kampaň na čokoľvek?

Donio ako jediná slovenská platforma pomáha získať financie na čokoľvek. Či už potrebujete financovať liečbu choroby, podporiť blízky útulok, rozbehnúť komunitnú záhradu alebo komerčný predpredaj produktu, kampaň môžete vytvoriť ako fyzická i právnická osoba. Samozrejme, každá kampaň musí byť v súlade s naším Etickým kódexom a Pravidlami používania.

Akú záruku mám, že prostriedky nebudú zneužité?

Pred spustením overujeme identitu každého zakladateľa kampane. Takmer s každým sme v intenzívnom kontakte a na posúdenie dôveryhodnosti kampane žiadame predloženie dokumentov, ktoré potvrdzujú účel výzvy či skutočnosti uvádzané vo výzve. Po skončení kampane od zakladateľov kampaní vyžadujeme aktualitu pre podporovateľov, ako boli získané prostriedky využité. Pri Naštartuj projekt navyše využívame overenie subjektu treťou stranou a dbáme na to, aby boli odmeny doručené tak, ako bolo v kampani sľúbené.

Nemôžem prispieť anonymne? Prečo na prispenie potrebujete moje údaje?

Vždy potrebujeme aspoň váš e-mail, aby sme naň poslali potvrdenie o platbe. Tiež naň budete dostávať informácie o tom, ako sa darí podporenej kampani. Ak ste si vybrali za svoj príspevok aj fyzickú odmenu, potrebujeme aj vaše ostatné kontaktné údaje pre jej odoslanie zakladateľom kampane.

Po odoslaní príspevku mi od vás neprišiel žiaden e-mail. Čo mám robiť?

Vo svojom e-mailovom klientovi sa pozrite do kategórie Ostatné. Alebo skontrolujte priečinok Spam. Ak nie je ani tam, ozvite sa nám na ahoj@donio.sk a spolu to vyriešime.

Od prispenia ubehlo už 24 hodín a moju platbu stále nevidím. Je to normálne?

Ak ste zvolili platbu kartou, mala by sa v prehľade kampane zobraziť hneď po prispení. Ak ste zvolili platbu prevodom, váš príspevok sa pripíše až v momente, keď peniaze prídu na účet. V prípade, že ste odoslali inú čiastku alebo ste nezadali variabilný symbol, musíme váš príspevok manuálne spárovať. To môže trvať aj týždeň.

Nepodarilo sa mi urobiť platbu kartou zo zahraničia, čo s tým?

Ak máte ťažkosti uskutočniť platbu zo zahraničia, môže byť chyba na strane platobnej brány, ktorá špeciálne zahraničné platobné karty neprijíma. Ak zvolíte platbu prevodom, môžete použiť službu Wise, ktorá má výhodnejšie poplatky.

Kampaň nezískala cieľovú sumu. Čo sa bude diať s mojimi peniazmi?

Ak sa ukončenej kampani nepodarila dosiahnuť želaná cieľová čiastka, ešte to neznamená, že peniaze zakladateľ nezíska. Pri vyplácaní sa riadime pravidlami jednotlivých druhov kampaní. Pri Dobročinných výzvach je podmienkou vyplatenia financií zakladateľovi kampane dosiahnutie minimálnej čiastky 200 € alebo dosiahnutie prvého kampaňového miľníka (ak kampaň pracovala s miľníkmi). Pri Naštartuj projekt je podmienkou vyplatenia dosiahnutie prvého kampaňového miľníka. Ak kampaň spĺňa podmienky, zakladateľovi vyplatíme získanú čiastku v plnej výške. Pokiaľ kampaň nedosiahla ani minimálnu čiastku potrebnú na vyplatenie, príspevky do 14 pracovných dní vrátime späť darcom priamo na účet alebo na platobnú kartu.

Darca, ktorý je za každú dobrosť
100 €  •  2. 3. 2026 7:37
Andrea S.
10 €  •  27. 2. 2026 18:58
držím labky
Láskavý darca
50 €  •  26. 2. 2026 11:50
Alena M.
1 €  •  23. 2. 2026 9:33
Držím silno palce a prajem skoré uzdravenie.
Veľkorysý darca
50 €  •  23. 2. 2026 7:13
Dobročinný Darca
9 €  •  16. 2. 2026 23:54
Dobrosrdečný darca
10 €  •  16. 2. 2026 23:43
Darca, ktorý je za každú dobrosť
25 €  •  16. 2. 2026 19:47
Milý darca
10 €  •  16. 2. 2026 15:37
Štedrý darca
10 €  •  15. 2. 2026 8:36
Veľkorysý darca
20 €  •  11. 2. 2026 11:11
Štedrý darca
25 €  •  9. 2. 2026 7:01
Alena M.
5 €  •  5. 2. 2026 13:14
Dufam, ze vsetko dobre dopadne.
AvantiTours
10 €  •  4. 2. 2026 21:55
Zuzana Z.
25 €  •  3. 2. 2026 9:45
Držím palce
Láskavý darca
10 €  •  2. 2. 2026 21:46
Liana M.
10 €  •  2. 2. 2026 16:57
Drz sa drobcek ❤️
Iveta C.
10 €  •  2. 2. 2026 13:55
Drž sa drobček 🍀🥰🍀
MH
30 €  •  26. 1. 2026 13:36
.
Láskavý darca
10 €  •  24. 1. 2026 23:59
Milý darca
10 €  •  23. 1. 2026 14:39
Dobročinný Darca
10 €  •  22. 1. 2026 19:02

Premýšľate ako pomôcť ešte viac?

Založte si vlastnú darcovskú výzvu a podporte tento príbeh spolu s priateľmi v rámci narodeninovej oslavy, vo firme alebo na športovej akcii.

Ako funguje Darcovská výzva

  1. Pridajte Darcovskú výzvu – vymyslite vlastný názov a napíšte krátky úvod, prečo vás zaujal príbeh, ktorý ste sa v Darcovskej výzve rozhodli podporiť.
  2. Zdieľajte ju s priateľmi, kolegami či vo svojej komunite, aby sa do pomoci mohlo zapojiť čo najviac prispievateľov.
  3. Získané financie priradíme ku kampani, ktorú ste sa rozhodli podporiť v 100 % výške.
Pridať Darcovskú výzvu Zistiť viac

U tohto príbehu zatiaľ žiadne Darcovské výzvy nie sú

Páči sa vám táto kampaň? Podporte ju Darcovskou výzvou.

Založte si vlastnú podkampaň a podporte tento príbeh spolu s priateľmi v rámci narodeninovej oslavy, vo firme alebo na športovej akcii.
Ako to funguje?

Odkazy

Jakub K.
10 €  •  18. 1. 2026 18:31
Držím palčeky nech všetko dopadne dobre s havíkom❤️
Mária
5 €  •  17. 1. 2026 21:11
Je to malo, ale dúfam, že pomôže🥰 Držíme prsty aj všetky labky🐾
Mario M.
10 €  •  17. 1. 2026 21:04
Drzim la
Liana M.
10 €  •  2. 2. 2026 16:57
Drz sa drobcek ❤️
Nikola M.
20 €  •  18. 1. 2026 15:13
Držím prsty a prajem veľa síl a úspešnú liečbu 🐶🍀❤️
Gabriela D.
10 €  •  17. 1. 2026 13:18
Ferko drž sa ❤️🙏
Monika G.
50 €  •  18. 1. 2026 22:11
Moc držim Ferinkovi palce
Alena M.
5 €  •  5. 2. 2026 13:14
Dufam, ze vsetko dobre dopadne.

Kto ďalší daroval?

Chcete vytvoriť kampaň? Sme za každú dobrosť.

Vytvoriť kampaň

Donio logo
Pomôžme Ferovi znovu sa nadýchnuť Podporte výzvu

Pomôžme Ferovi znovu sa nadýchnuť

Fero, náš miláčik, bojuje s vážnymi problémami s dýchaním, ktoré mu znižujú kvalitu života. Jeho priedušnica mu bráni v plnom nadýchnutí a často ho prepadnú kašľavé záchvaty. Pomôžme mu získať potrebnú liečbu a diagnostiku, aby mohol opäť voľne dýchať.

Získaných 720 € 43 darcov