Pre Bessie, aby mohla ešte žiť naplno
Túto výzvu sme ukončili.
Toto sú ďalšie kampane, ktoré môžete podporiť.
Pre Bessie, aby mohla ešte žiť naplno
Všetky kampane overujeme
26. 12. 2025 15:08
Naša kampaň končí o 4 dni
Ahojte kamaráti 🐾
Chceme vám popriať ešte krásny zvyšok vianočných sviatkov 🙂🎄 Ďakujeme každému jednému, kto príspel čo i len 1€ alebo Bessinkin príbeh zdieľal. Naša zbierka však už o 4 dni končí.
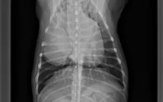
Bessie sa má dobre. Rana sa pekne zahojila, pomaly jej celé vyholené miesto začína zarastať. Absolvovala od operácie už jednu ozonoterapiu, kedže kvôli stresu sa jej znova objavili príznaky atopickej dermatitídy, na ktorú sa lieči niekoľko rokov. Avšak od wellnessu a jednej dávky cytopintu je všetko v poriadku 🙂. Bessie kašle veľmi výnimočne, určite nás čaká ešte kontrolný rentgen. Vydáva zvuky typicke pre staffbulikov a teší sa zo života.
ĎAKUJEME ❤️
Ahojte 🐾
Som majiteľka troch úžasných psíčkov, Calea, Linka a Bessie. Práve našej najstaršej Bessie bol len nedávno nájdeny nádor na pľúcach. Bessie je moja spriaznená duša, ktorá bola somnou vždy, či bolo dobre alebo zle a nebyť jej diagnózy, čakalo by nás ešte pár krásnych, spoločne prežitých rôčkov.
Všetci asi vieme, že boj s touto zákernou chorobou je finančne náročny a už teraz sme do všetkých vyšetrení investovali cez 500€. Hoci pracujem na plný úväzok v obchodnom reťazci a privyrábam si fotením a handlingom psíkov, moje úspory som už vyčerpala a finančná situácia mi nedovoľuje aktuálne jej zabezpečiť potrebné vyšetrenie pre zistenie o aký typ nádoru sa vlastne jedná, tak som sa rozhodla požiadať o pomoc vás.
Bessie je 12-ročná sučka stafordšírskeho bulteriéra.
Aj napriek niekoľkým zdravotným problémom, to bola vždy veselá, aktívna sučka, s ktorou sme si vyskúšali množstvo psích športov a pochodili spolu veľa miest. Vo svojom okoli rozdávala každému len radosť a pomohla mi s výchovou mojích ďalších psov.
Avšak v auguste sme si začali na Bessie všímať zmeny. Začala kašľať, hlavne po fyzickej aktivite alebo keď sa tešila. Začala sa pomalšie pohybovať a všimli sme si aj zväčšujúci sa hrudník. Vzhľadom na jej vek som si najprv myslela, že začína mať problém so srdiečkom. Po prvotnej zlej diagnostike a mojej nespokojnosti na nemenovanej psej klinike sme zašli na kliniku Ejmi do Prievidze k MVDr. Mlákovi, ktorý sa špacializuje na kardiológiu. Po vykonaní USG srdiečka, EKG a röntgenu sme zistili, že srdiečko je viac menej na jej vek v poriadku a nepotrebuje medikáciu. Avšak horšia správa bola, že jej pán veterinár našiel nádor na plúcach a nie malý.
Naša cesta teda viedla hneď do VetPointu v Bratislave, kde si nás pod seba zobrala MVDr. Martina Jureková, ktorá sa špecializuje na psiu onkológiu. Bessie bola vykonaná hematológia a biochémia a sono brušnej dutiny. Napriek svojmu veku je Bessie zdravá, krvné testy dopadli dobre, ukázali len zvýšené hodnoty bielych krviniek, krvných doštičiek a proteínov v dôsledku nádoru. MVDr. Jureková sa vyjadrila, že vzhľadom na všetky výsledky je Bessie schopná s touto zákernou chorobou bojovať a môže jej to predĺžiť život o niekoľko rokov. Bessie je bojovníčka a ešte tu chce s nami byť.
Na čo konkrétne budú peniaze z tejto kampane použité?
Aktuálne je predbežná diagnóza primárny karcinóm pľúc avšak to bez CT a biopsie nevieme presne určiť. Vyzbierané peniaze budú použité na tieto vyšetrenia, ktoré stoja približne 1100€ a na predchádzajúce vyšetrenia (hematologické a biochemické vyšetrenie krvy, sono brucha, onkologická konzultácia).
Na základe výsledkov z CT a biopsie by sme sa potom rozhodli o ďalšom možnom postupe.
Aktuality
26. 12. 2025 15:08
Naša kampaň končí o 4 dni
Ahojte kamaráti 🐾
Chceme vám popriať ešte krásny zvyšok vianočných sviatkov 🙂🎄 Ďakujeme každému jednému, kto príspel čo i len 1€ alebo Bessinkin príbeh zdieľal. Naša zbierka však už o 4 dni končí.
Bessie sa má dobre. Rana sa pekne zahojila, pomaly jej celé vyholené miesto začína zarastať. Absolvovala od operácie už jednu ozonoterapiu, kedže kvôli stresu sa jej znova objavili príznaky atopickej dermatitídy, na ktorú sa lieči niekoľko rokov. Avšak od wellnessu a jednej dávky cytopintu je všetko v poriadku 🙂. Bessie kašle veľmi výnimočne, určite nás čaká ešte kontrolný rentgen. Vydáva zvuky typicke pre staffbulikov a teší sa zo života.
ĎAKUJEME ❤️
3. 12. 2025 9:56
Máme výsledky z histopatológie
Ahojte 🐾
Bessie bola už na vybratí stehov. Rana sa hojí dobre, ale ešte má obmedzený pohyb. Ožila nám ešte viac. Od operácie to je 16 dní a Bessie by najradšej už skákala na gauč alebo posteľ. Na prechádzkach okolo paneláku, by už rada zašla aj ďalej 🙂
Zároveň nám prišli výsledky z histopatológie, ktoré potvrdili, že išlo o adenokarcinóm pľúc. Podľa všetkého by mal byť vybratý celý, bez ďalších metaztáz. Išlo o veľmi agresívny typ nádoru. Stačilo by pár týždňov a nebol by vôbec operovateľný. Držte Bessie palce a labky.
Ďakujeme všetkým, ktorí prispeli a pomohli tak Bessie bojovať s touto chorobou. Na zbierku máme už len 27 dní. Budeme neskutočne radi za každé 1€ a zdieľanie zbierky ❤️
ĎAKUJEME
24. 11. 2025 8:42
Prvá pooperačná kontrola
Bessie v piatok absolvovala prvú pooperačnú kontrolu, ktorá dopadla super. Všetko ide tak ako má, rana sa hojí pekne. Kontrolné rentgeny dopadli dobre, všetko je v poriadku.
Teraz už len zvládnuť kľudový režim. Tento týždeň ide Bessie ešte na vybratie stehov.
Držte nám palce a labky 🐾
ĎAKUJEME ❤️
21. 11. 2025 0:31
Bessie má za sebou život zachraňujúcu operáciu
Ahojte 🐾
Opäť sa chceme poďakovať všetkým, ktorý Besske prispeli čo i len 1€, ako aj ľuďom ktorí príbeh Bessie zdieľali ❤️. Neskutočne si to vážime.
Finálnu sumu sa nám síce, ešte neporadilo vyzbierať, avšak po konzultácii s viacerými veterinárami, sme stáli pred náročným rozhodnutím. Bessie nemala veľa času na to, aby sme na jej operáciu čakali. Nádor bol príliš veľký a o mesiac by jej stav už nemusel byť operovateľný. Z toho dôvodu sme sa nakoniec rozhodli, aby Bessie podstúpila operáciu čo najskôr.
Termín operácie mala 17. 11., kde jej operáciu mali na starosti MVDr. Valášek a MVDr. Valašek Nusová. Nás čakali najťažsie hodiny, kedy sme len čakali na telefónat z VetPointu. Nakoniec operácia trvala až 2,5 hodiny, nádor odo dňa kedy sa robilo CT, narástol na 10×9,5×5 cm, čo nám len potvrdilo, že rástol extrémne rýchlo. Môžme povedať, že jej operácia zachránila život. Bessie bola na klinike hospitalizovaná do 19. 11. od kedy je v domácej liečbe. Pomaly sa zotavuje a zvláda to veľmi statočne. Prvá noc doma bola náročná, ale už sa z nej stáva opäť veselá Bessie, ktorá vôbec nekašle.
Teraz nás čaká ešte veľké množstvo kontról. Zajtra cestujeme do Bratislavy opäť na kontrolu.
Držte nám palce, nech všetky kontroly dopadnú ako majú a nech sa Bessie zotaví čo najskôr.
ĎAKUJEME ❤️



11. 11. 2025 19:49
Máme výsledky a dobré správy
Ahojte 🐾
Tak a máme výsledky z CT a biopsie. CTčko nám ukázalo, že Bessie má nádor na pravom pľúcnom laloku o veľkosti 9,9 × 9 × 4,3 cm. Aktuálne jej tlači na zadnú dutú žilu, v dôsledku čoho jej už opúcha pečeň. Nádor je však jeden, solídny a žiadne ďalšie metastázy sa nepotvrdili. Čo však ukázala biopsia, je že nádor je zhubný a ide o primárny karcinóm pľúc.
Dobrou správou, je že Bessie môže podstúpiť operáciu a nádor tak chirurgicky odstrániť, čo jej vie predlžiť život o pár rokov.
Všetky výsledky má dobré a na klinike majú všetko preto, aby operácia dopadla úspešne. Cena operácie je však niečo okolo 2000€ a Bessie ju musí podstúpiť čo najskôr.
Budeme vďační, každému jednému, kto prispeje čo i len 1€, Bessie sa tu s nami bude tešiť o nejake tie rôčiky dlhšie.
6. 11. 2025 12:24
CT vyšetrenie a biopsiu má Bessie za sebou
Ahojte 🐾
V prvom rade sa chceme veľmi pekne poďakovať všetkým, ktorí Besske prispeli akoukoľvek sumou. Ďakujeme za všetky milé odkazy a podporu (aj zdieľaním jej príbehu). Veľmi si to vážime ❤️
Veľmi na rýchlo sme dostali termín na CT vyšetrenie a biopsiu, ktorú Bessie včera (5. 11. 2025) absolvovala na klinike VetPoint v Bratislave. Na klinike strávila niekoľko hodín, ale všetko dopadlo dobre. Bessie ešte oddychuje po včerajšku, má lieky na bolesť a teraz nám ostáva, už len čakať na výsledky, ktoré by mali byť do pár dni.
Celé vyšetrenie nás nakoniec stálo o niečo menej, ako bola vypočítana predbežná cena. Na základe výsledkov, ktoré nám prídu budeme riešiť s veterinármi ďalšie postupy liečby, ktoré by boli pre Bessie najlepšie a následne potom by som to potom celé prerátala.
Držte Bessie palce a labky ❤️🐾


- Čo je to Donio?
-
Donio je miesto, kde má každý možnosť jednoducho získať financie na zmenu svojho príbehu alebo na ňu iným prispieť. Zakladateľom vždy odovzdávame 100% získanej sumy.
- Ako je možné, že odovzdávate 100% získanej sumy?
-
Naším cieľom je pomáhať naplno všetkým, ktorí to potrebujú. Vytvorenie kampane na Donio je preto bezplatné. Náš chod hradíme z dobrovoľných darov od podporovateľov, nie z provízií od zakladateľov kampaní. Ďakujeme za ne, sú pre nás nielen veľká finančná pomoc, ale i gesto, že to, čo robíme, vám dáva zmysel.
- Naozaj si u vás môžem vytvoriť kampaň na čokoľvek?
-
Donio ako jediná slovenská platforma pomáha získať financie na čokoľvek. Či už potrebujete financovať liečbu choroby, podporiť blízky útulok, rozbehnúť komunitnú záhradu alebo komerčný predpredaj produktu, kampaň môžete vytvoriť ako fyzická i právnická osoba. Samozrejme, každá kampaň musí byť v súlade s naším Etickým kódexom a Pravidlami používania.
- Akú záruku mám, že prostriedky nebudú zneužité?
-
Pred spustením overujeme identitu každého zakladateľa kampane. Takmer s každým sme v intenzívnom kontakte a na posúdenie dôveryhodnosti kampane žiadame predloženie dokumentov, ktoré potvrdzujú účel výzvy či skutočnosti uvádzané vo výzve. Po skončení kampane od zakladateľov kampaní vyžadujeme aktualitu pre podporovateľov, ako boli získané prostriedky využité. Pri Naštartuj projekt navyše využívame overenie subjektu treťou stranou a dbáme na to, aby boli odmeny doručené tak, ako bolo v kampani sľúbené.
- Nemôžem prispieť anonymne? Prečo na prispenie potrebujete moje údaje?
-
Vždy potrebujeme aspoň váš e-mail, aby sme naň poslali potvrdenie o platbe. Tiež naň budete dostávať informácie o tom, ako sa darí podporenej kampani. Ak ste si vybrali za svoj príspevok aj fyzickú odmenu, potrebujeme aj vaše ostatné kontaktné údaje pre jej odoslanie zakladateľom kampane.
- Po odoslaní príspevku mi od vás neprišiel žiaden e-mail. Čo mám robiť?
-
Vo svojom e-mailovom klientovi sa pozrite do kategórie Ostatné. Alebo skontrolujte priečinok Spam. Ak nie je ani tam, ozvite sa nám na ahoj@donio.sk a spolu to vyriešime.
- Od prispenia ubehlo už 24 hodín a moju platbu stále nevidím. Je to normálne?
-
Ak ste zvolili platbu kartou, mala by sa v prehľade kampane zobraziť hneď po prispení. Ak ste zvolili platbu prevodom, váš príspevok sa pripíše až v momente, keď peniaze prídu na účet. V prípade, že ste odoslali inú čiastku alebo ste nezadali variabilný symbol, musíme váš príspevok manuálne spárovať. To môže trvať aj týždeň.
- Nepodarilo sa mi urobiť platbu kartou zo zahraničia, čo s tým?
-
Ak máte ťažkosti uskutočniť platbu zo zahraničia, môže byť chyba na strane platobnej brány, ktorá špeciálne zahraničné platobné karty neprijíma. Ak zvolíte platbu prevodom, môžete použiť službu Wise, ktorá má výhodnejšie poplatky.
- Kampaň nezískala cieľovú sumu. Čo sa bude diať s mojimi peniazmi?
-
Ak sa ukončenej kampani nepodarila dosiahnuť želaná cieľová čiastka, ešte to neznamená, že peniaze zakladateľ nezíska. Pri vyplácaní sa riadime pravidlami jednotlivých druhov kampaní. Pri Dobročinných výzvach je podmienkou vyplatenia financií zakladateľovi kampane dosiahnutie minimálnej čiastky 200 € alebo dosiahnutie prvého kampaňového miľníka (ak kampaň pracovala s miľníkmi). Pri Naštartuj projekt je podmienkou vyplatenia dosiahnutie prvého kampaňového miľníka. Ak kampaň spĺňa podmienky, zakladateľovi vyplatíme získanú čiastku v plnej výške. Pokiaľ kampaň nedosiahla ani minimálnu čiastku potrebnú na vyplatenie, príspevky do 14 pracovných dní vrátime späť darcom priamo na účet alebo na platobnú kartu.
25 € • 30. 12. 2025 9:49
10 € • 29. 12. 2025 20:12
10 € • 29. 12. 2025 15:51
50 € • 29. 12. 2025 14:26
5 € • 29. 12. 2025 1:40
5 € • 28. 12. 2025 21:51
5 € • 28. 12. 2025 18:51
1 € • 28. 12. 2025 18:36
3 € • 28. 12. 2025 18:22
13 € • 28. 12. 2025 16:36
10 € • 28. 12. 2025 12:47
10 € • 27. 12. 2025 8:03
50 € • 26. 12. 2025 19:08
5 € • 26. 12. 2025 18:47
5 € • 26. 12. 2025 18:41
50 € • 26. 12. 2025 18:32
15 € • 26. 12. 2025 15:51
2 € • 26. 12. 2025 15:18
Premýšľate ako pomôcť ešte viac?
Založte si vlastnú darcovskú výzvu a podporte tento príbeh spolu s priateľmi v rámci narodeninovej oslavy, vo firme alebo na športovej akcii.
Ako funguje Darcovská výzva
- Pridajte Darcovskú výzvu – vymyslite vlastný názov a napíšte krátky úvod, prečo vás zaujal príbeh, ktorý ste sa v Darcovskej výzve rozhodli podporiť.
- Zdieľajte ju s priateľmi, kolegami či vo svojej komunite, aby sa do pomoci mohlo zapojiť čo najviac prispievateľov.
- Získané financie priradíme ku kampani, ktorú ste sa rozhodli podporiť v 100 % výške.
Táto výzva je súčasťou témy Zapojte sa do Giving Tuesday 2025.
Ďalšie kampane
Chcete vytvoriť kampaň? Sme za každú dobrosť.
Podporte výzvu
Pre Bessie, aby mohla ešte žiť naplno
Bessie, 12-ročná stafordšírska bulteriérka, je mojou spriaznenou dušou. Nedávno jej diagnostikovali nádor na pľúcach. Napriek veku je inak zdravá a chceme bojovať. Potrebujeme vašu pomoc na financovanie CT a biopsie, aby sme zistili, ako ďalej postupovať.
Získaných 2 214 € 105 darcov